+918048031351
Currently it only shows your basic business info. Start adding relevant business details such as description, images and products or services to gain your customers attention by using Boost 360 android app / iOS App / web portal.

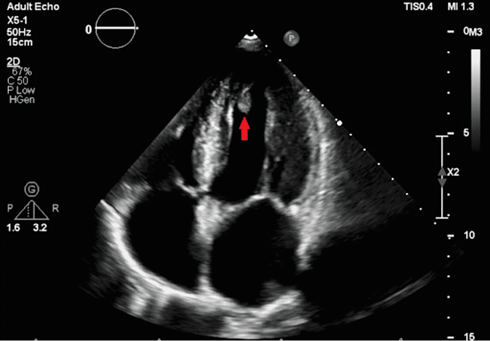
best cardiac doctors in bangalore An LV (left ventricular) clot in an echo is a blood clot tha An LV (left ventricular) clot in an echo is a blood clot that forms inside the heart's main pumping chamber, and it's often a complication of a heart attack. Echocardiography (echo) is the main diagnostic tool used to see it, though contrast-enhanced echo can improve accuracy. Diagnosis depends on seeing a distinct mass within the ventricle.